
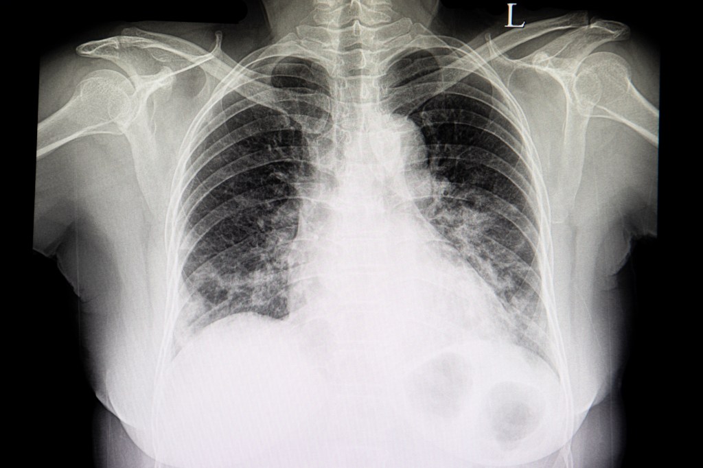
上圖為心臟衰竭患者的胸部X光,
中間白色水球形狀的是擴大的心臟,代表無力的心臟。
心臟兩側白白毛毛,像棉花的樣子,以心臟為中心,散布在兩側肺部的是水腫的肺部。
擴大的心臟,加上水腫的肺部,會造成呼吸困難,胸悶,手腳冰冷,下肢水腫,疲倦,食慾不振…等症狀。
糖尿病患者,慢性腎臟病患者,透析病患,心血管疾病患者,心臟病家族史者,肥胖患者,蛋白尿的患者,年紀大…都是心臟衰竭的高危險群。
杜醫師接受Hello醫師採訪:說明心臟檢查對於透析病友預防心臟衰竭的重要性,以及心腎照護上常見的2大問題。
到底透析病友應做哪些心臟檢查?
多久要檢查一次?
選擇透析中心和醫院的考量重點?
讓我們帶您一探究竟!